Servicio de uñas
Podología
Odontología
Podología
Servicio de uñas
Odontología
Inicio de sesión para socios
+7 (4722) 200-555
ES
Русский
English
Українська
Français
Por favor complete este campo
Tenencia
Sobre nosotros
Desarrollos
Exposiciones
Catálogos
Socios
Trabajos
Los documentos
Contactos
Productos
Instrumentos odontológicos de diamantes
Los materiales de empastes
Los materiales ortopédicos
Los materiales para el laboratorio dental
Materiales auxiliares
Materiales de prevención
Materiales endodónticas
Materiales para la curación
Materiales quirúrgicos osteoplástico
Servicios
El Centro Odontológico VladMiVa
Centro educativo
Servicio de equipo dental
VMV Lab
Estudio de belleza y salud
Bureau of R&D
Fabricación por contrato
Red comercialugi
Tienda en línea
Tienda de cosmetología online
Representaciones
Farmacias
Centro de ciencia
Revista científica "Odontología Clínica"
Publicaciones
Nuestros desarrollos
Departamento de NRU BELGU
Contactos
Hogar
Revista científica "Odontología Clínica"
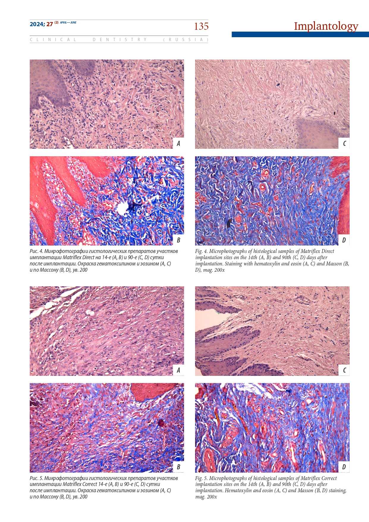
“Odontología Clínica” № 2 (27) 2024
“Odontología Clínica” № 2 (27) 2024
1
-
2
página de 176
Descargar revista
1
2
página de 176